Amalgam Dolgu Sökümünde Kullanılan Yöntemler
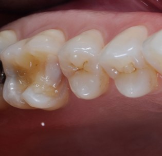
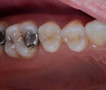
Amalgam dolgular ağızda metalik renkte görünen dolgulardır. İçeriğinde civa , gümüş kalay ve bakır gibi metal bazlı ürünler vardır. Bu dolguların içeriğindeki metal parçacıklar dolgunun daha sağlam olmasını ve çiğneme basınçlarına daha fazla dayanmasını sağlar. Civa aslında diğer metallerin birbirlerine bağlanmasını sağlayan bir bonding ajanı olarak kullanılır. Amalgam dolgular özellikle büyük azı denilen asıl çiğnemenin olduğu dişlere yapılmıştır.
Yıllar önce yapılan bu amalgam dolgular bir süre sonra kırılma yada korozyon gibi sebeplerle ağızda stabil olarak kalamadıkları için kararlı yapıları bozulur. Bu nedenle de birleşiğindeki metal parçacıkları ağız dokularına ve oradan da vücudun diğer organlarına iyonlarını salarlar. Ağır metal toksisitesi denilen durum oluşmaya başlayarak tüm vücutta enflamasyona sebep olabilirler. Enerji ve doku uyumluluğunu bozan bu durumdan kurtulmak için amalgamların sökümü gerekir.
Amalgam sökümü işlemi için kullanılan teknik yöntemin adı SMART protokoldür. Türkçe ifadesi ise spesifik ölçülebilir amalgam söküm tekniğidir. bu yöntemin amalgam dolguların güvenli bir şekilde çıkarılmasını sağlamak için belirli adımlar ve çeşitli önlemler içeren bir uygulamadır. Bu sayede hem hekim ve sağlık çalışanları hem de hastaların güvenliğini üst düzeyde sağlamak için geliştirilmiştir.
Klasik dolgu söküm teknikleriyle amalgam dolguları sökmek hasta ve sağlık çalışanlarına zarar verebilir. Ayrıca çevresel zararları da tüm bölgedeki popülasyon için az da olsa zararlı olabilir. Özellikle amalgam sökümü esnasında oluşan civa buharı ciddi toksitite oluşturur ve Solunmamalıdır.

Amalgam Dolgu Sökümü Sırasında Alınması Gereken Önlemler
Amalgam dolguların önlem alınarak sökülmesi çok önemlidir. Eğer yeterli bilgi yoksa ve önlem alınamayacak kadar ekipman bulunmuyorsa amalgam dolgular sökülmemelidir. Ağızda kalması daha az zarar verecektir.
— Koruyucu Önlemler:
lastik örtü; Dişin ağızdaki diğer dokulardan yani komşu diş ,diş eti ,dil ve yanak mukozası gibi çevresel dokulardan izole edilmesidir.
Kişisel koruyucu ekipman; sağlık personelinin civa buharı ve metal partiküllerinin temasına karşı kullandığı n95 maske , gözlük ,steril eldiven cerrahi önlükler
Özel vakum cihazı ; civa buharını ve havada asılı olan metal partikülleri yakalan yüksek kapasiteli cihazlardır. Ortamın havasını temizler.
Düşük ısılı dönen özel aletler; civa buharının oluşumunu azaltmak için üretilmiş özel uçlardır. Özelliği ısınma minimum seviyede olup buharı azaltmaktadır.
Temiz hava cihazları; bu havalandırma sistemleri minimum 500 m3 civarında temiz havayı kanallardan uygulama yapılan üniteye verirler. Bu sayede oksijenli temiz bir ortam sağlanır.
—Hasta önlemleri;
Hastanın tüm yüzü ve bedeni özel örülerle kapatılır
Burundan oksijen verilir.
İşlem öncesi aktif karbon ile ağız çalkalanır.
İşlem öncesi ve sonrasında yüksek doz C vitamini takviyesi verilir.
Tıbbı atık yönetimi ; sökülen amalgam partikülleri amalgam separatörleri vasıtasıyla toplanır. Separatörden çıkarılan partiküller atom enerji kurumuna özel kaplarda imha edilmek üzere yollanır.

Amalgam Dolgu Sökümü Sonrası Detoksifikasyon Yöntemleri
• Antioksidanlar: C vitamini (portakal, kivi) ve selenyum (Brezilya fındığı, deniz ürünleri), vücudu toksinlerden arındırmaya yardımcı olur. Ayrıca çinko gibi bazı destekleyici ürünlerde immünitenin güçlenmesine yardımcı olur.
• Alkalin Diyet: Sebzeler, yeşil yapraklı bitkiler, meyveler gibi alkali gıdalar tercih edilmelidir.
• Klorofil ve yeşil içecekler ; klorofil detoksifikasyon için çok önemli bir maddedir. Ispanak maydanoz gibi yeşil yapraklı bitkiler tüketilmelidir
• Yüksek Lifli Gıdalar: lif açısından zengin Tam tahıllar, sebzeler ,chia tohumu ve meyveler sindirimi düzenler, toksinlerin atılmasına yardımcı olur. Detoks dışkılaması toksinlerin atılmasına çok yardımcı olur.
• Bol canlı Su Tüketimi: Günlük 2-3 litre su içmek, detoks sürecini hızlandırır. Suyun canlandırılması ve aktif hale gelmesi için cam ya da toprak kaplardan içilmeli ve pembe kuvars dağ taşlarından faydalanabilirsiniz.
• Takviyeler: Çinko, magnezyum ve D vitamini bağışıklık sistemini güçlendirir.
• Detoks Diyeti: Yeşil smoothie’ler, zeytinyağı, avokado gibi sağlıklı yağlar vücudu iyileştirir.
• Fermente Gıdalar: Yoğurt, kefir gibi probiyotik gıdalar sindirim sistemini destekler.
• Şekerden Kaçınma: Şeker, iltihaplanmayı artırabilir ve iyileşmeyi geciktirir. Enflamasyon oluşumuna izin vermemek gerekir.
• haraket ; düzenli egzersiz ve kardiyo çalışmaları da toksinlerin deriden atılmasına yardımcı olur.
• epsom tuzlu banyo; epsom tuzu olarak bilinen İngiliz tuzu e ticaret firmalarından bulunabilir. Bu tuzun içinde magnezyum, kükürt ve oksijen vardır. Küvete doldurulan suyun içine bir miktar karıştırılarak minimum 20 dakika ılık suda banyo yapılır.
• ozon uygulaması ; en ideal olarak uygulama yöntemi deriden ozonlama yöntemidir. Özel cihazlar yardımıyla tüm beden ısıtılıp ter gözenekleri açılır. Açılan bu gözeneklerden ozon partikülleri vücuda girer ve böylece tüm toksinlerden kurtulup yerine ozonlama yapılır.
Yukarda saydığımız tüm yöntemler genel uygulamalar olup , diş hekimi tarafından hastaya uygun şekilde kişiselleştirilebilir.

Amalgam Dolgu Sökümünün Maliyeti ve Sigorta Kapsamı
Amalgam dolgu sökümü maliyeti klinik ve amalgamların lokalizasyonunu göre değişiklik gösterebilir. Şuan itibariyle maalesef özel sağlık sigortaları amalgam sökümü için bir bütçe ayırmamaktadırlar. Özel ve kamu sigorta şirketleri bu işlemler ile ilgili hiçbir ödeme yapamamaktadırlar.
Amalgam dolgu söküm ücretleri 5000-10000 lira arasında bir aralıktadır. Genel piyasa fiyatları için ortalama bir rakamdır. Amalgam söküm işlem ücreti olup söküm sonrası yapılacak tedavileri kapsamamaktadır. Amalgam sökümü sonrası beyaz kompozit dolgu , seramik porselen dolgu yada porselen kaplama yapılabilir. Bu nedenle amalgam dolgu söküm fiyat bilgisi alırken yada araştırmalarınızı yaparken smart protokol uygulaması ile sökülüp sökülmediğini sorgulamanız gerekir ve eğer bu protokol ile sökülüyor ise söküm ücretini sorguladıktan sonra üzerine yapılacak işlemlerin de ücretlerini sorgulamakta fayda var. Anlayacağınız elma ile armudu kıyaslamamış olursunuz.
Amalgam söküm işleminin maliyetini artıran unsurlar; kullanılan kişisel koruyucu ekipman ve filtrelerdir. Kullanılan tüm materyaller toksitite açısından risk olduğu için tek sefer kullanılır ve atılır. Bu nedenle işlem maliyeti artar. Kullanılan malzeme kalitesi çok önemlidir. Bu nedenle mutlaka işlemde kullanılan materyaller sorgulanmalıdır.

Amalgam Dolgu Sökümü İçin Diş Hekimi Seçimi
Amalgam söküm işlemini yapacak hekim SMART protokol eğitimi almış olmalıdır. Konu hakkında sizi çok detaylı bilgilendirmelidir. Bilgi açısından tatmin olmadığınız bir hekime veya kliniğe amalgam sökümünüzü yaptırmamalısınız. Amalgam sökümü yapacak hekimin bilgisinin yanında tecrübeli sağlık çalışanlarının da olması gerekir. Amalgam söküm işlemi dört el ile yapılan bir işlemdir. Hiçbir diş hekimi tek başına bu işlemi yapamaz. Çünkü işlem esnasında özel aspiratörlerin ağız içi ve ağız dışında uygun pozisyonlarda tutulması ve gerektiğinde maniple edilmesi gerekir.
Diş hekimi ya da klinik seçerken dikkat edilmesi gerek diğer unsur EKİPMAN yeterliliğidir. Söküm yapılacak mekanın fiziki şartları ve medikal ekipmanlarının tam olması gerekir. Ekipman eksikliği durumunda amalgam sökümü size ve sağlık çalışanlarına zarar verebilir. Oluşacak zarar kısa sürede ortaya çıkmayacaktır . Bu tür toksik ürünler uzun dönemlerde zararlı etkilerini gösterir.
Diş hekimi seçiminizde tecrübeli ve sürdürülebilir klinikleri tercih etmenizde fayda vardır. Ulaşımı kolay ve her an iletişim kurabileceğiniz diş hekimlerini tercih etmelisiniz. Geçici bir hekim ile işlemleri yürütmeniz sonrasında ki problemleriniz için hiç doğru olmaz. Bu nedenle ilişkinin devamlılığı esastır.
Amalgam sökümü maliyetini her ne kadar sigorta firmaları karşılamasa da söküm sonrası yapılacak dolgu yada porselen işlemlerini bazı sigortalar karşılamaktadır. Bu sebeple işlem öncesi sigortanızla görüşmenizde ve bu görüşmeyi tercih ettiğiniz hekim ille konuşup bilgi vermekte fayda vardır.
Amalgam dolgu sökümü için tercih edeceğiniz hekim ve çalıştığı kurumun genel sterilizasyon ve dezenfeksiyon şartlarını yerine getirdiğinden emin olunuz. Sökülen amalgam partiküllerinin atık prosedürüyle atom enerjisi kurumuna gidip gitmediğini de sorgulama sizin çevresel duyarlılığınızı gösterir.

Amalgam Dolgu Sökümü ve Hamilelik
Amalgam sökümü işlemleri her ne kadar önlem alınsa da hamilelerde önermemekteyiz. Hamilelik süreci bir hastalık değil fizyolojik bir durumdur. Buna rağmen işlemin aciliyeti yoksa söküm işlemleri gebelik sonrasına bırakılmalıdır. Kozmetik olarak rahatsızlık bu anlamda ötelenebilir bir durumdur.
Amalgam dolgunuzda bir ağrı ya da kırık oluştuysa amalgam protokolü uygulanarak söküm yapılabilir. Bazen ağrı olmadığı durumlar olup sadece amalgam dolgu da kırık olabiliyor bu tür durumlarda ise ilgili dişin kırık olan bölgesi kompozit dolgu materyalleriyle tamir edilebilir. Amalgam söküm işlemi yine gebelik sonrasına bırakılır.
Amalgam dolgulu dişte ağrı ve hassasiyet var ise SMART protokole uygun şekilde amalgam dolgu hamilelerde de sökülebilir. Bu işlemler öncesi kadın doğum doktorundan da onay alınmalıdır. Bazen bilinmeyen nedenler ile istenmeyen düşükler olabilmektedir, amalgam sökümünün bu tür düşüklere neden olduğu ile ilgili bir araştırma sonucu yoktur. Bazen bu tür yorumlar hastalardan duymaktayız ama kanıt olarak bir veri bulunamamıştır.
Sonuç itibariyle hamilelik sırasında eğer ağrı hassasiyet veya dişinizde kırık yok ise amalgam dolgunuzu söktürmemelisiniz. Gebelik sonrası amalgam dolgunuz güvenle sökülür. Hatta emzirme bitmeden sökümün yapılması da doğru değildir. Acil bir durum olmadıkça amalgam dolgunuz emzirmenin bitmesinden sonra sökülmelidir.
Her durumda yani hamilelik veya emzirme durumlarında ilgili doktor meslektaşlarımızdan görüş almalısınız.

Amalgam Dolgu Sökümü Sonrası Yaşanan Deneyimler
Amalgam dolgu sonrasında normalde sağlıklı bireylerde hayat kalitelerinde önemli bir değişiklik olmamaktadır. Genel sağlık durumu iyi olan hastalar işlem sonrası bir problem yaşamıyorlar. Basit bir dolgu yada porselen protez işlemleri gibi hayat akışları normal seyretmektedir.
Bazen hastalarımızın amalgam sökümü istemelerinin sebebi başka tıbbi sorunlar olabiliyor. Alzheimer belirtileri gösteren , nörolojik problemli hastalar yada romatolojik hastalıklı kişilerde işlem sonrası rahatlama olabiliyor. Amalgam vücudun enerji alanını bozan bir materyaldir. Enerji akımı bozulduğu için zaman zaman uyku problemleri yada hormonel hastalıklar oluşabiliyor. Enerjinin bedende ki akış yönleri ve belli meridyenlere olan etkileri amalgam gibi bozucu özellikli materyallerden etkilenmektedir. Konuyla ilgili nörolog ve enerji alanıyla ilgilenen hekimler ile bu konuda birlikte çalışmaktayız. Dramatik iyileşmelere şahit olmaktayız. Tabi her hasta için bu başarı söz konusu olmayabilir. Şifalanmak için hekim , hekim gezen ama bir sonuca ulaşamayan çok hasta var.
Amalgam sökümü sonrası en önemli konu bedende bulunan yabancı ve toksik materyalden kurtulmuş olmak psikolojik olarak bile insanlara fayda sağlar. Günümüz koşullarında maruz kalınan birçok toksik maddeden birinden kurtulma fikri insanlara rahatlık verir.

Amalgam Dolgu Sökümünde Kullanılan Ekipman ve Teknolojiler
Amalgam söküm işlemleri hem teknoloji hem de ekipman gerektirir. Bu ekipmanlar olmadan amalgam sökümü yapmak hasta, sağlık çalışanları ve çevre açısından zararlı olacaktır.
Amalgam söküm işlemi esnasında en yeni teknolojik ürün uzun kol ve eklemli ayaklı aspiratörlerdir. Bu aspiratörlerin özelliği hasta hangi pozisyonda olursa olsun. Uzun kolları sayesinde her açıda hastanın ağız çevresine ulaşıp ortamdaki civa ve ağır metal buhar ve partiküllerini çeker. Aspiratörlerin için de bulanan hepa filtreleri vasıtasıyla da içeri giren buhar filtrelenir. Metal partikülleri ayrıştırılır. Ayrışan bu metal partikülleri özel separatörler yardımıyla ayrışmış olur. Kapsül içine alınan artıklar aspiratörden çıkarılarak Türkiye atom enerjisi kurumuna imha edilmek üzere gönderilir.
Amalgam sökümünde kullanılan diğer bir ürün ise ısı üretmeyen karbon uçlardır. Bu uçlar sayesinde amalgam parçalarının ısınmasına bağlı buhar oluşumu minimumu indirilir. Amaç buhar oluşturmadan ve saçılım yapmadan amalgam dolguyu sökmektir. Karbon uçlar buharlaşmayı çok ama çok azaltır.
Ekipmanlar ise; kişisel koruyucu materyallerdir. Bunlar gözlük özek kalın eldiven, n95 filtreli maske , steril örtü, bone ve benzeri ürünlerdir. Bu ürünler tek kullanımlık olup her kullanım sonrası tıbbı atık prosedürüne uygun şekilde atılır.
Diş ünitelerinin içinde amalgam ayırıcı filtreler de olmalıdır. Şebekeye civa ve benzeri ürünler karışmaması için özle ayırıcılardan geçerek atıklar şebekeye verilmelidir. Amalgam ayırıcılar sayesinde ayrı bir alanda tutulur .

Amalgam Dolgu Sökümünün Çevresel Etkileri
Amalgam dolgu sökümü ile oluşan atıkların çevreye verdiği zararları yok etmek üzerine önlemler almak gerek. Amalgam partiküllerinin artıkları şebeke sularına karışmamalıdır. Bunun için atık amalgam partiküllerini yakalayan separatörlere ihtiyaç vardır. Bu cihazlar amalgam sökülen diş ünitesinin içinde özel bir alanda bulunur. İşlemlerden sonra bu alandan atıklar güvenle alınarak ilgili kuruma iletilir.
Ayrıca mobil aspiratörler yardımıyla ortamın civa buharının temizliği sağlanır. Atık civalar aspiratörlerin HEPA filtrelerinde takılırlar. Bu sayede civa materyalleri filtrelere yapışmış olur. Bu filtreler belli aralıklarla değiştirilmelidir. Hepa filtreler değişimi yine özenle ve özel eldivenlerle yapılması gerekir. Bu filtreler yine ilgili kurumlara gönderilmesi gerekmektedir.
Amalgam sökümü esnasında kişisel koruyucu malzemeler de tek kullanımlık olup işlem sonrası yine tıbbi atık prosedürlerine uygun şeklide toplanıp atılmalıdır. Amalgam sökümü için kullanılan karbon uçlar da kesici aletlerin toplandığı kutularda saklanıp toplanmalıdır. Amalgam partikül buluş riski olan tüm ürünler tıbbi atık prosedürüne uygun toplanıp atılmalıdır.




Amalgam Dolgu Sökümü İçin Uygun Yaş Aralığı
Amalgam sökümü için 12 yaş sonrası uygundur. Yaşın öneminden çok hastanın genel durumu ve sistemik rahatsızlıklarının olup olmaması daha önemlidir. Kanser hastalarında, kemoterapi yada radyoterapi uygulamaları esnasında amalgam söküm işlemlerinin yapılması uygun olmayacaktır.
Akupunktur ya da nöral terapi gibi uygulamalar sırasında da amalgam söküm işlemi yapılmamalıdır.
Genel olarak sağlık problemi olan çocuk ve erişkinlerde amalgam sökümü yapılacak ise takip eden doktorlarından görüş almakta fayda vardır.
Sonuç itibariyle 12 yaş sonrası tüm insanlara amalgam söküm işlemi yapılabilir. Hamilelik veya ciddi sistemik hastalığı olan kişilere işlem yapılması doğru olmayacaktır. Ancak acil bir durum varsa gerekli önlemler alınarak işlem yapılabilir. Bu işlemler için ilgili doktordan görüş almakta fayda vardır. Amalgam dolgular özellikle 12 yaş altı çocuklarda Avrupa ülkelerinde yasaklanmıştır.

